How to Stop Gum Bleeding Without Dentist (Complete Natural Guide)
Bleeding gums are one of the most ignored warning signs of poor oral health.
If your gums bleed while brushing or eating, your body is trying to tell you something important.
The good news?
You can stop gum bleeding without visiting a dentist—if you act early and follow the right methods.
Why Do Your Gums Bleed?
Before fixing the problem, you need to understand the cause.
Common Reasons for Bleeding Gums
- Plaque buildup along the gum line
- Poor oral hygiene habits
- Vitamin deficiencies (especially Vitamin C & K)
- Smoking or tobacco use
- Hormonal changes
- Weak oral bacteria balance
👉 Most people think brushing harder will fix it…
But that actually makes it worse.
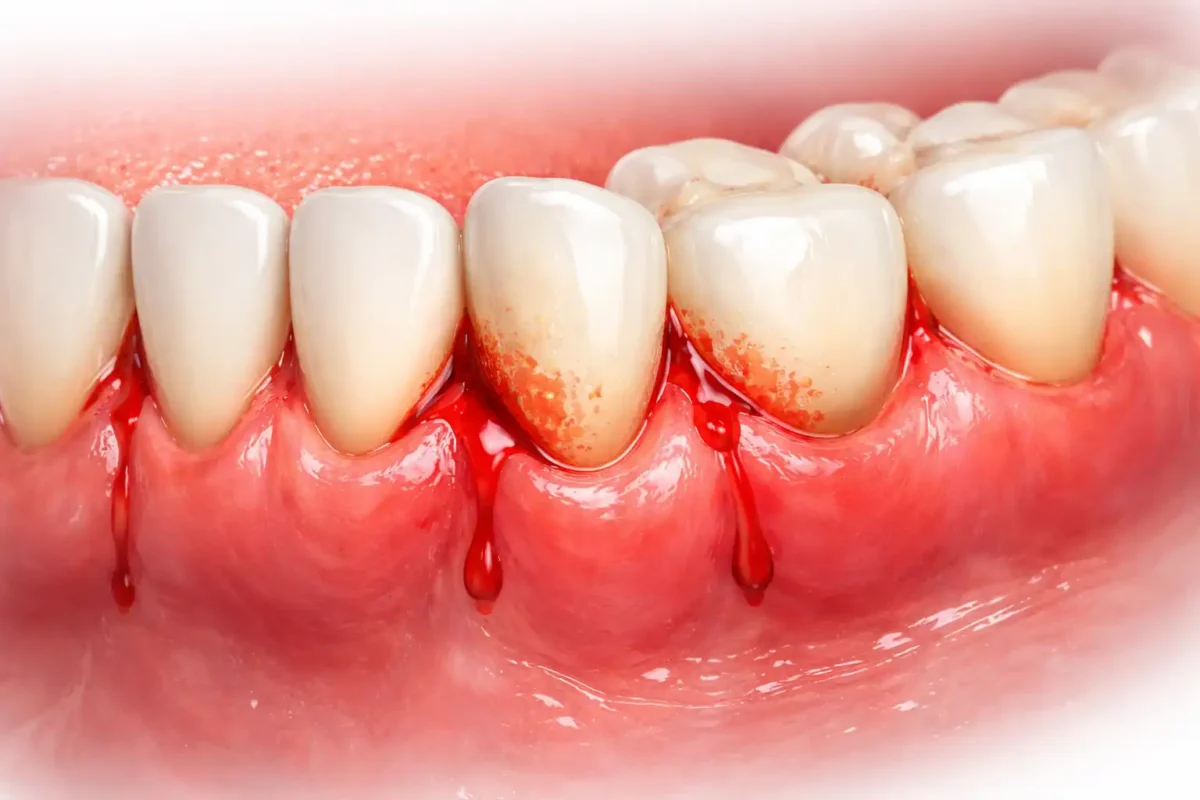
Early Warning Signs You Shouldn’t Ignore
Symptoms of Unhealthy Gums
- Red or swollen gums
- Bleeding while brushing
- Persistent bad breath
- Gum sensitivity
- Receding gums
If ignored, this can lead to serious gum disease.
The Hidden Cause of Bleeding Gums – Bad Oral Bacteria
Most people think bleeding gums are just caused by poor brushing…
But the real problem often goes deeper — bacteria imbalance in your mouth.
Your mouth contains both good and bad bacteria. When bad bacteria take over, they attack your gums, causing inflammation, bleeding, and even bad breath.
This is why brushing alone is not always enough.
Good vs Bad Bacteria (What You Need to Know)
- Good bacteria protect your gums and teeth
- Bad bacteria cause plaque, infection, and bleeding
When the balance is disturbed, your gum health starts to decline.
How to Restore the Balance
- Maintain proper oral hygiene
- Reduce sugar intake
- Use natural remedies like oil pulling
- Support oral microbiome with probiotics
👉 Place your image here:
“3D illustration of good vs bad bacteria in mouth, colorful microbes, educational dental concept”
How to Stop Gum Bleeding Without Dentist
Now let’s fix it naturally
1. Improve Your Brushing Technique
What Most People Do Wrong
- Brushing too hard damages gums
- Using hard-bristle toothbrush
What You Should Do Instead
- Use a soft-bristle brush
- Brush gently in circular motion
- Brush twice daily
2. Start Salt Water Rinse
Why It Works
Salt water reduces bacteria and inflammation.
How to Use
- Mix 1 teaspoon salt in warm water
- Rinse for 30 seconds
- Do it 2 times daily
3. Increase Vitamin Intake
Important Nutrients for Gum Health
- Vitamin C (healing)
- Vitamin K (reduces bleeding)
- Calcium (strengthens teeth)
Best Natural Sources
- Oranges
- Spinach
- Dairy products
4. Use Natural Oils (Oil Pulling)
Benefits
- Reduces harmful bacteria
- Strengthens gums
- Freshens breath
How to Do It
- Take 1 tablespoon coconut oil
- Swish for 10–15 minutes
- Spit it out (don’t swallow)
5. Balance Oral Bacteria (MOST The Hidden Cause
Most people don’t know this…
Bleeding gums are often caused by bad bacteria imbalance in the mouth.
Brushing and flossing only clean the surface —
They don’t fix the root cause.
The Smarter Solution
Using oral probiotics can help restore good bacteria inside your mouth.
This supports:
- Stronger gums
- Less bleeding
- Better breath
Salt Water Rinse – The Simplest Way to Stop Gum Bleeding Fast
One of the most effective and underrated remedies for bleeding gums is a simple salt water rinse. It works by reducing bacteria, soothing inflammation, and helping your gums heal naturally.
Salt acts as a natural disinfectant. When you rinse your mouth with warm salt water, it creates an environment where harmful bacteria struggle to survive. This directly reduces swelling and bleeding.
It’s especially useful if your gums bleed while brushing or feel sensitive throughout the day.
How to Use It Correctly
- Take a glass of warm water
- Add 1 teaspoon of salt
- Mix well until dissolved
- Rinse your mouth for 30 seconds
- Spit it out (do not swallow)
Repeat this process twice daily for best results.
Why It Works So Well
- Reduces gum inflammation
- Kills harmful bacteria
- Speeds up healing process
- Improves overall oral hygiene
👉 Place your image here:
“Glass of warm salt water with toothbrush beside it, clean minimal background, health concept”
Mistakes That Make Gum Bleeding Worse
Avoid These Habits
- Brushing aggressively
- Ignoring bleeding signs
- Using alcohol-based mouthwash daily
- Eating too much sugar
- Skipping oral hygiene
When Should You See a Dentist?
Warning Signs
- Bleeding continues for more than 2 weeks
- Severe pain or swelling
- Loose teeth
👉 In these cases, professional help is necessary.
Final Thoughts
Bleeding gums are not normal — but they are reversible.
If you:
- Improve your brushing
- Use natural remedies
- Support your oral bacteria
👉 You can stop gum bleeding without a dentist and restore your gum health naturally.
Quick Daily Routine (Simple Habit Plan)
Morning
- Gentle brushing
- Salt water rinse
Night
- Brush properly
- Oil pulling (optional)
Weekly
- Focus on nutrition
- Support oral microbiome
What Healthy Gums Look Like (Before vs After Improvement)
Understanding the difference between unhealthy and healthy gums can help you track your progress.
When your gums are unhealthy, they appear red, swollen, and may bleed easily. Over time, this can lead to more serious issues like gum recession and tooth sensitivity.
But with the right care, your gums can recover and return to a healthy state.
Signs of Unhealthy Gums
- Red or dark-colored gums
- Swelling and tenderness
- Bleeding during brushing
- Persistent bad breath
Signs of Healthy Gums
- Light pink color
- Firm and tight around teeth
- No bleeding
- Fresh breath
How Long Does It Take to Improve?
With consistent care:
- Mild cases improve in 5–7 days
- Moderate cases take 2–3 weeks
👉 Place your image here:
“Healthy pink gums and white teeth comparison before and after, clean dental concept, bright smile, realistic”
❓ Frequently Asked Questions (FAQ)
1-How to stop gum bleeding without dentist at home?
You can stop gum bleeding without a dentist by improving your brushing technique, using a soft-bristle toothbrush, rinsing with warm salt water, and maintaining good oral hygiene. Natural remedies and proper nutrition also play a key role in healing gums.
2-What are the main causes of bleeding gums and how to treat them?
The most common causes of bleeding gums include plaque buildup, poor oral hygiene, vitamin deficiencies, and bacterial imbalance. You can treat them by brushing gently, flossing regularly, using salt water rinses, and improving your diet.
3- What is the best home treatment for gum disease without dentist?
The best home treatment includes salt water rinses, oil pulling, proper brushing, flossing, and maintaining a balanced oral microbiome. These methods help reduce inflammation and promote gum healing naturally.
4-What are the most effective natural remedies for bleeding gums at home?
Effective natural remedies include warm salt water rinses, coconut oil pulling, aloe vera gel application, and increasing Vitamin C intake. These help reduce bacteria and strengthen gums.
5- How to heal bleeding gums fast naturally?
To heal bleeding gums quickly, rinse with salt water twice daily, brush gently, avoid sugary foods, and follow a consistent oral care routine. Results can often be seen within a few days.
6-Why do my gums bleed when I brush my teeth?
Gums usually bleed due to inflammation caused by plaque buildup or brushing too hard. Switching to a soft-bristle brush and improving oral hygiene can help reduce bleeding.
7- Can bleeding gums heal on their own?
Yes, mild cases can heal naturally if you improve oral hygiene, follow home remedies, and maintain proper nutrition. However, severe cases may require professional care.
8- How long does it take for bleeding gums to heal naturally?
Mild gum bleeding can improve within 5–7 days, while more serious cases may take 2–3 weeks with consistent care and proper treatment.
9- Is salt water good for bleeding gums?
Yes, salt water is highly effective. It reduces bacteria, soothes inflammation, and speeds up the healing process of gum tissues.
10- What vitamin deficiency causes bleeding gums?
Vitamin C and Vitamin K deficiencies are commonly linked to bleeding gums. Increasing these nutrients can significantly improve gum health.
11- How to prevent bleeding gums in the future?
To prevent bleeding gums, brush gently, floss daily, maintain a healthy diet, avoid smoking, and keep your oral bacteria balanced.
12: Are bleeding gums a sign of gum disease?
Yes, bleeding gums are often an early sign of gum disease (gingivitis). Ignoring it can lead to more serious conditions like periodontitis.
13- What foods help stop gum bleeding naturally?
Foods rich in Vitamin C (oranges, berries), calcium (milk, cheese), and leafy greens can help strengthen gums and reduce bleeding.
14- Can oil pulling help bleeding gums?
Yes, oil pulling with coconut oil helps remove harmful bacteria and supports overall gum health, reducing bleeding over time.
15- Is it safe to treat gum bleeding at home?
Yes, mild gum bleeding can be safely treated at home using natural remedies and proper oral hygiene. However, persistent bleeding should be checked by a dentist.
16-What is the fastest way to stop gum bleeding without dentist?
The fastest way is to combine salt water rinses, gentle brushing, and avoiding irritants like sugar and tobacco while maintaining oral hygiene.
17-How does bacteria cause bleeding gums?
Harmful bacteria build up around the gum line, causing inflammation and irritation, which leads to bleeding and swelling.
18- Can probiotics help with bleeding gums?
Yes, probiotics help balance oral bacteria, which can reduce inflammation and improve overall gum health naturally.
19- Should I stop brushing if my gums bleed?
No, you should continue brushing but switch to a soft-bristle toothbrush and use gentle techniques to avoid further damage.
20- When should I see a dentist for bleeding gums?
If your gums bleed for more than two weeks, or if you experience pain, swelling, or loose teeth, you should consult a dentist immediately.